Chromatography
Comprehensive solutions for separation and purification of biological products
Comprehensive Chromatography and Purification Solutions
We provide complete purification solutions for biological products, including screening and customization of separation and purification media, selection and configuration of chromatography equipment and columns, process scale-up from small trials to production, and technical training and guidance services.
Biomacromolecule Purification Strategies
Chromatography Media and Applications in Protein Purification
Contact Us For the Products
Product Name | Description | Image |
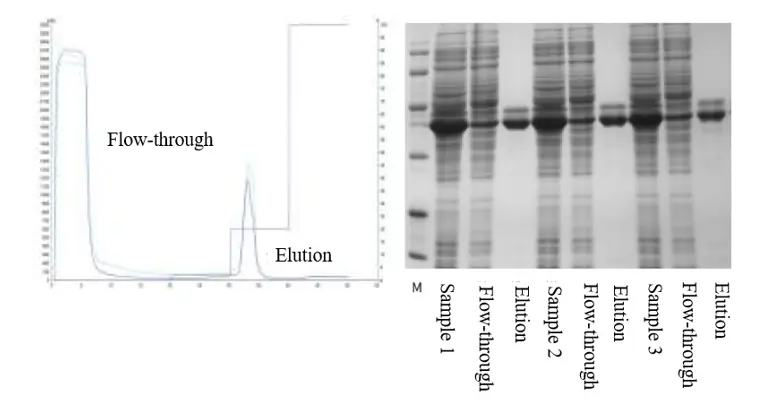
arProtein A Focurose HR | Affinity resin is developed and established based on the principle of specific adsorption between biomolecules and other ligand molecules, aiming to purify target molecules through the specific adsorption between ligands on the resins and the target molecules. Protein A is a golden staphylococcal cell wall protein with a molecular weight of 42 kDa. It contains five structural domains that specifically bind to the Fc region of antibody IgG molecules. By coupling modified Protein A ligands onto cross-linked agarose, arProtein A Focurose HR resin has been successfully developed. It is primarily used for the separation and purification of ascites fluid, cell culture supernatant, monoclonal antibodies, polyclonal antibodies, and Fc-tagged proteins derived from serum. With advantages such as high loading capacity, stable alkali resistance, excellent purification effect, and good reproducibility, arProtein A Focurose HR resin can significantly reduce the costs of customer affinity research and production by directly replacing other resins. | ![]() |
Benzamidine Focurose 4FF (HS) | Benzamidine Focurose 4FF(HS) is suitable for the separation and purification of pancreatic protease, thrombin, enterokinase, urinary kallikrein, and prolyl endopeptidase (peptidase release enzyme). It can also be used for rapid removal of cell culture supernatant, bacterial lysates, and serine proteases in serum. | ![]() |
Ni Focurose FF (TED) | Ni Focurose FF (TED) is a purification method that utilizes the interaction between Ni2+ and certain amino acids (primarily histidine, cysteine, and tryptophan) on the side chains of proteins for separation and purification. It is suitable for the purification of His-tagged proteins and other biomolecules that interact with Ni2+. The strong chelating property of Ni2+ allows direct application in the purification of His-tagged proteins expressed in eukaryotic secretion systems, tolerating higher levels of reducing agents and chelators without the need for sample pretreatment. The resin can be easily cleaned and regenerated without nickel stripping, enabling direct NaOH cleaning. | ![]() |
GST Focurose 4FF | GST Focurose 4FF is suitable for the separation and purification of GST-tagged proteins, glutathione S-transferase (GST), or glutathione-dependent proteins. Prepacked columns require the use of a chromatography system, peristaltic pump, or syringe. | ![]() |
Phenyl Focurose FF (HS) | Phenyl Focurose FF(HS) is a hydrophobic ligand coupled to provide interactions with hydrophobic groups on the surface of proteins or antibodies, particularly under high ionic strength conditions (where increased ionic strength enhances the interaction between ligands and hydrophobic groups). This enables the separation and purification of biomolecules. Phenyl Focurose FF(HS) is primarily used for initial sample capture and moderate purification. | ![]() |
SP Focurose FF Ion Exchange Resins | SP Focurose FF is a strong cation exchange resin suitable for the separation and purification of all charged biomolecules, including proteins, peptides, and nucleic acids. It is designed with medium-sized particles and is commonly used for preliminary capture and moderate purification of samples. | ![]() |





